Meet Dr. Eugenio Aquino
Dr. Eugenio Aquino
Dr. Aquino a Prosthodontist is always thinking ahead about the next continuing education course to take or the next piece of technology he’s going to train on. He’s all about progress and making things better for his patients, which you’ll certainly appreciate when you decide to partner with him!
"Healthy and properly aligned teeth are crucial for chewing efficiency and esthetics. These results can be obtained orthodontically or prosthetically using the latest advanced technology."
As a maxillofacial prosthodontist in Naples, I am able to offer comprehensive diagnosis and treatment to the most complex cases with predictable and long-lasting results to restore a patient’s biomechanics and esthetics. My clinical focus includes patients with trauma, congenital defects, edentulous patients, failing dentition, worn dentition, loss of esthetics, cancer (before/during/after chemotherapy, radiation therapy, stem cell transplants, bone-targeted therapy, and immunotherapy), microvascular fibula free flap with fixed or removable resection prosthesis, and maxillofacial prostheses (ear, eye, nose, obturators, palatal augmented prostheses, etc.). In order to obtain an ideal treatment for these types of patients, working with a multi-disciplinary team of different specialties is crucial.
I pay careful attention to my patients for optimal results. After patients are finalized with treatment, it is rewarding to see them with a beautiful new smile with great esthetics and biomechanics.
- Dr. Aquino was born and raised in Mexico, and he migrated to Los Angeles at the age of 14. He worked hard and was determined to be the first of his family to go to college. As a child, he was raised in a community with no dental provider. He wanted to make a difference in his community and pursued dentistry.
- Outside of work, Dr. Aquino enjoys traveling, reading, hiking, and dancing. He believes that family time is important which is why he often travels to California and Mexico where his immediate family resides.
After graduating from UCLA with a Bachelor of Science degree in Biochemistry, Dr. Aquino went to the UCLA School of Dentistry where he graduated with his Doctor of Dental Surgery (DDS) degree in 2016. To increase his knowledge and level of care, that same year Dr. Aquino continued his education by attending the Michael E. DeBakey VA Medical Center at Houston to obtain his post-graduate prosthodontics certificate while also earning a Master of Science. Dr. Aquino then pursued a fellowship in oral oncology and maxillofacial prosthetics at the University of Texas M.D. Anderson Cancer Center.
In 2020, he started working at a private prosthodontics specialty practice in Maryland and with a multi-disciplinary head and neck cancer team at the Greater Baltimore Medical Center.
In order to provide the best up-to-date treatment to his patients, Dr. Aquino constantly seeks ways to improve his clinical skills by attending national and international conferences as well as continuing education courses. He understands that dentistry is constantly improving and wants to provide the best up-to-date treatments to his patients.
While obtaining his master’s degree, he was fascinated and realized the importance of digital dentistry for surgical procedures. Therefore, one of his important areas of interest is digital dentistry.
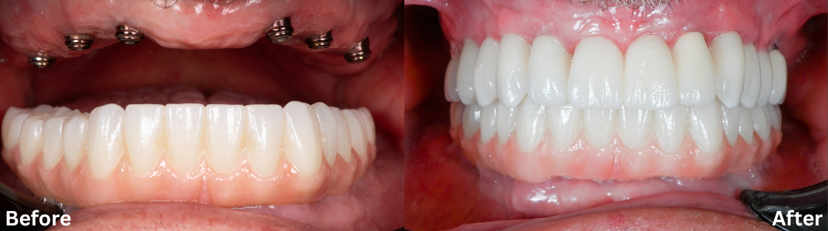
Smile Restoration Gallery – All-On-X Cases



Affiliations & Memberships
What Patients Are Saying About Rockville Dentist Dr. Aquino
"I had such a great visit today that I fell asleep during the whole procedure. Great job Nate and Dr Aquino"
- M.B.
★★★★★
I had my tooth extracted today with Dr. Aquino and my cleaning with Cordai and everything was excellent! Dr. Aquino is very gentle and kind with no pain. My previous experience at other offices has not been this great. Thank you to all the team and doctors.
- J.
★★★★★
"I had a wonderfully experience today Nate and Dr Aquino made this visit amazing"
- S.M.
★★★★★








