Full Mouth Reconstruction in Rockville, MD
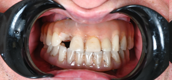
Does this term mean what it sounds like? Yes, it does. There are times when the condition of the mouth causes a dentist to look at the range of treatments needed and say, “All of the above.” It’s not something we need to do often, but, we’re happy to say, StarBrite Dental has all the expertise required for full-mouth reconstruction right here, under one roof.
There a number of reasons why your dentist might recommend full-mouth reconstruction (or rehabilitation, or restoration), but here are the most likely situations:
- Entire rows of teeth broken due to trauma
- Advanced cases of decay affecting numerous teeth
- Severely worn teeth, resulting from acid erosion or tooth grinding
Full-mouth reconstruction may also be called for in some cases where it is the only way to remedy misalignments causing jaw, muscle and/or head pain.
What Causes Acid Erosion in Teeth?
How Full Mouth Reconstruction Works
Full-mouth reconstruction requires a collaborative effort on the part of a team that can provide restorative dentistry, cosmetic dentistry, oral surgery, endodontics (treatment of the inner tooth) and periodontics (treatment of the gums and supporting structures of the teeth).
Understanding just how many dental professionals, and how much collaboration, is required begins with a thorough examination by your primary dentist, in which he or she will answer questions such as these:
All-On-X Full Arch Restoration
 
 
What Our Patients Are Saying About Us
 Your Involvement
A full-mouth reconstruction represents the most comprehensive example possible of our “patients as partners” philosophy at StarBrite Dental. Once your examination and evaluation have been completed, your dentist, and any specialists that need to be involved with your treatment, will have detailed discussions with you about what is being recommended. We won’t make a move until we’re sure you understand the plan completely.
Once you fully understand the scope of your treatment, and have signed off on our treatment plan, all you need to do is be here for your appointments- you do not need to go office to office. This is because, here at StarBrite Dental, we’ve assembled an all-star team that includes just about all the dental specialist expertise you’ll need.
Contact Us to Schedule an Appointment Today!
*We DO NOT ACCEPT HMO Insurance, State Insurance, Medicaid/Medicare, or discount plans. Fees apply for services. and same-day appts/emergencies.
Evening and Weekend Hours Available
- Monday
- Closed
- Tuesday
- -
- Wed, Fri
- -
- Thursday
- -
- Saturday
- -
- Sunday
- Closed
Office  
(301) 770-1070
Fax (301) 770-0544
5936 Hubbard Dr, Rockville, MD 20852


