Restore Your Smile with All-on-X Dental Implants in Rockville, MD
Permanent, Natural-Looking Teeth in Just One Procedure
Losing multiple teeth can impact your confidence, ability to eat, and overall quality of life. Traditional dentures may offer a temporary fix, but they often lack the stability and comfort of natural teeth. All-on-X dental implants provide a long-lasting, secure solution that restores your smile and your ability to enjoy life without worry. Whether you’ve been struggling with loose dentures, failing dental work, or widespread tooth loss, this cutting-edge treatment can give you a fully functional, beautiful smile in just one procedure.
At Starbrite Dental in Rockville, MD, Dr. Maryam Seifi specializes in advanced full-arch dental implant solutions that enhance comfort, durability, and aesthetics. With a focus on state-of-the-art technology and personalized patient care, we help you regain a strong, confident smile that feels as natural as it looks.
What Are All-on-X Dental Implants?
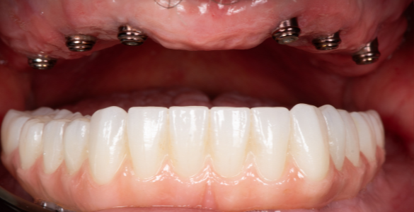
All-on-X dental implants are an innovative solution designed for patients who have lost most or all of their teeth and are seeking a permanent, fixed alternative to dentures. This advanced treatment method replaces an entire arch of teeth using only four to six strategically placed implants rather than requiring a separate implant for each missing tooth. This approach offers a more efficient, cost-effective, and comfortable way to restore full function and aesthetics to a patient’s smile.
Unlike removable dentures, which rest on the gums and can shift or cause irritation, all-on-X implants are securely anchored into the jawbone, mimicking the stability and feel of natural teeth. The procedure allows your dentist to place dentures onto the titanium posts immediately, meaning patients can walk out of their surgery with a brand-new set of functional, beautiful teeth on the same day.
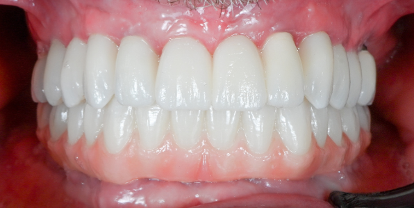
Smiles Reimagined: All-On-X Results

How Do They Work?
Who Is an Ideal Candidate for All-on-X?
All-on-X implants are an excellent option for patients who:
- Are missing most or all of their teeth.
- Have failing bridges, crowns, or dentures.
- Experience discomfort or difficulty chewing with traditional dentures.
- Have bone loss but still qualify for implant placement.
- Want a permanent, low-maintenance solution for a full-arch restoration.
The best way to determine if All-on-X implants are right for you is to schedule a consultation with Dr. Seifi at Starbrite Dental.
The All-on-X Procedure: Step-by-Step
Recovery Timeline: What to Expect
- First Few Days – Some swelling and discomfort are normal but manageable with prescribed medications.
- First 1-2 Weeks – Stick to a soft diet to allow healing.
- 1-3 Months – Gradual improvement in function as implants integrate.
- 3-6 Months – Full healing and placement of the final prosthetic.
- Long-Term – Regular dental checkups and at-home care ensure lasting success.
Common Myths & Misconceptions
✔ Myth: “Implants are painful.”
✔ Reality: The procedure is performed with local anesthesia and sedation, ensuring a pain-free experience.
✔ Myth: “I don’t have enough bone for implants.”
✔ Reality: The All-on-X technique is designed for minimal bone volume, often eliminating the need for bone grafting.
✔ Myth: “Implants require too much maintenance.”
✔
Reality: All-on-X implants are easy to care for—brush, floss, and visit your dentist regularly.
State-of-the-Art Technology at Starbrite Dental
At Starbrite Dental, we use cutting-edge digital scanning and guided implant surgery to ensure precision and optimal outcomes. Dr. Seifi’s expertise in implantology and modern dental technology guarantees a smooth and successful procedure.
Caring for Your All-on-X Implants
- Brush & floss daily with special implant-friendly techniques.
- Use a water flosser to clean around the prosthetic.
- Attend regular checkups for professional cleanings and implant monitoring.
- Avoid smoking and excessive alcohol, which can impact healing and longevity.
Diet & Lifestyle Adjustments
- Soft diet for the first few weeks (mashed potatoes, yogurt, eggs).
- Gradually reintroduce solid foods after 3-6 months.
- Avoid biting into hard foods
(ice, nuts) to prolong implant lifespan.
How Much Do All-on-X Implants Cost?
The cost of all-on-X implants varies based on individual needs and the complexity of the case. At Starbrite Dental, we offer:

- Transparent pricing with no hidden fees.
- Flexible financing options to fit your budget.
- Insurance assistance to help maximize your benefits.
Why Choose Starbrite Dental for All-on-X?
✅ Expertise – Dr. Maryam Seifi has years of experience in advanced dental implantology.
✅ Advanced Technology – We use 3D imaging, guided surgery, and top-tier materials.
✅ Personalized Care – Every treatment is tailored to your unique needs.
✅
Comfort & Convenience – Sedation options for a stress-free experience.
Frequently Asked Questions (FAQ)
Schedule Your Consultation Today!
Don’t wait to restore your smile and confidence. Contact Starbrite Dental in Rockville, MD, today to schedule your All-on-X consultation with Dr. Maryam Seifi!
Contact Us To Schedule An Appointment Today!
*We DO NOT ACCEPT HMO Insurance, State Insurance, Medicaid/Medicare, or discount plans. Fees apply for services. and same-day appts/emergencies.
Evening and Weekend Hours Available
- Monday
- Closed
- Tuesday
- -
- Wed, Fri
- -
- Thursday
- -
- Saturday
- -
- Sunday
- Closed
Office
(301) 770-1070
Fax (301) 770-0544
5936 Hubbard Dr, Rockville, MD 20852


