Dental Veneers in Rockville MD
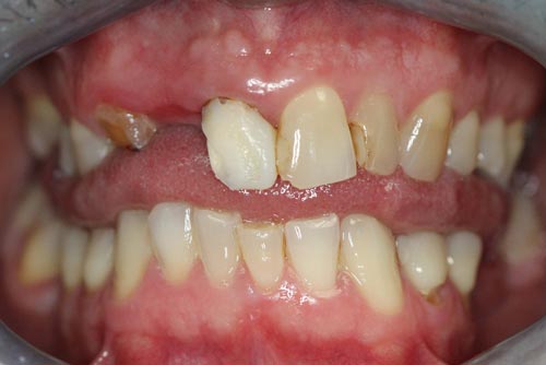
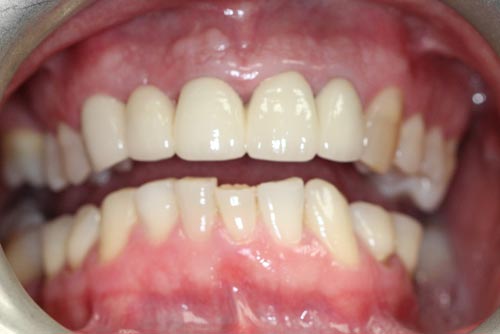
One of the greatest things we experience at StarBrite Dental is watching a patient with imperfect teeth go from being a person who is afraid to smile to being a person who can’t seem to stop smiling. One of the procedures we use to help people make that transformation is the application of porcelain veneers.
If the word sounds familiar, that’s because it is. Have you ever had a piece of furniture that featured a wood veneer? A dental veneer works on pretty much the same principle. Where a wood veneer puts a facing of quality, nicely finished wood over lesser quality wood or even particle board, a dental veneer puts a well-formed, healthy-looking surface on a malformed, broken, badly discolored or other condition that makes a tooth imperfect.
That’s where the comparison to wood veneers ends, by the way, since furniture veneers aren’t made of lab-engineered, medical-grade materials. Let’s move on!
The Basics on Dental Veneers
Veneers are shells of porcelain (also called “ceramic”) that are engineered to fit over the front of your teeth and be cemented in place. Veneers can be used to compensate for poorly aligned teeth and gaps between teeth as well.
They’re the secret to many of the dazzling smiles you see in movies and on TV; in fact, veneers were first invented by a dentist who was looking for a way to give movie stars what might be called a “Hollywood-quality” smile.
Click on the Video Below to View Our Cosmetic Case Studies
What Our Patients Are Saying About Us
What “Porcelain" Means
Veneers can be made out of composite resin, but porcelain veneers remain the most commonly used material.
In case you’re wondering, when we speak of porcelain in dentistry, we’re not talking about tiling your teeth! The concept is similar, in that veneers are cemented over the surface of your teeth, but this isn’t the type of porcelain on your kitchen floor (or the kind in that nice tea set you picked up at an estate sale).
Dental porcelain and dental cement/adhesives are medical-grade materials, engineered for strength and versatility in the transformation and protection of your teeth.
When Dental Veneers Are Used
Some people are born with naturally beautiful smiles. Some people are born with smiles that, for one reason or another, simply don’t grow in as nicely as others. Perhaps their teeth are spaced unevenly or just aren’t shaped attractively. There might be some slight crowding or overlapping that doesn’t warrant the considerable investment of time that goes along with orthodontics. For them, veneers are a much quicker route to the smile they’re hoping for. Porcelain veneers can be a fast, aesthetic solution for slightly crooked teeth.
Some people just do it to have whiter teeth.
Of course, even those with naturally beautiful smiles can find themselves in an entirely different situation later on, due to tooth decay from poor dental hygiene, discoloration from smoking, damage from an accident—there are quite a few ways for once-perfect teeth to become much less than perfect.
Porcelain veneers are one of the best options for helping people get the smile they always wanted or to make their smiles as brilliant as they used to be. Contemporary cosmetic dentistry, such as the kind practiced here at StarBrite Dental, has solutions for getting your smile where you want it to be.
Dental Trivia: Where Hollywood Got its Smile
Back in the Golden Age of Hollywood, not everyone who became a movie star came to town with a perfect, big-screen smile. At the request of the legendary makeup artist, Max Factor, a dentist named Charles Pincus developed a technique for putting ceramic covers over teeth. His were temporary “snap-on” veneers that had to be removed for eating and sleeping, but they made quite an impression on the silver screen and in publicity photos. They also paved the way for the state-of-the-art techniques we enjoy today. If you’re a fan of older movies, you’ve probably seen and enjoyed Dr. Pincus’ work. Ever hummed along to a musical number in a Shirley Temple movie? Pincus veneers are why little Shirley never seemed to be losing any baby teeth in her films. Judy Garland’s bright Kansas-girl smile in The Wizard of Oz was also a Pincus production (apparently, Judy had some gaps in her teeth). And don’t think it was only actresses whose smiles were tuned up by Charles Pincus. Top-billed men, the legendary Bob Hope among them, also owed their close-up-quality smiles to the good doctor.
The Emotional Benefit of Dental Veneers
Cracked, broken, discolored, or poorly-shaped teeth are more than an oral health concern. In addition to interfering with proper biting, chewing, and speech, they can have a devastating effect on self-esteem and the ability to interact comfortably with others.
If you’re hesitant, or even embarrassed, to smile because of the appearance of your teeth, you’re depriving yourself of the opportunity to honestly and freely express your emotions. You’re also depriving others of the pleasure of your approval when they’ve said something that amuses you or makes you happy. In addition, it can be very easy to allow dissatisfaction with your smile to escalate into dissatisfaction with yourself.
With the cosmetic dentistry options available today, there is no reason for you to miss out on such an important part of your self-expression. If the condition of your teeth is negatively affecting how you relate to the people around you, please talk to us about achieving a bright, pleasant smile with custom-designed porcelain veneers.
We are currently offering a free consultation, which includes x-rays, to help you decide if porcelain veneers are the solution you’ve been looking for. We would be honored to help you on your journey to a smile you are proud to show off.
Complimentary Dental Veneers Consultation
Helping people explore and fully understand their options prior to treatment is an important part of our StarBrite Dental philosophy. Our free veneers consultation does that by including:
- Complimentary x-rays
- Overview of your current dental condition
- Thorough explanation of veneer options
Please note that not everyone is a candidate for veneers. If your consultation reveals that veneers are not the right solution for you, we’ll assess your situation and offer a cosmetic dentistry alternative that will help you achieve an improved smile without veneers.
What the Dental Veneers Process Is Like
Once you’ve decided to go with veneers, treatment begins with a series of precise measurements and careful attention to the shape of your face, the shading of your teeth and various other factors that your StarBrite dentist will take into account when sitting down to design your smile.
Get Life-Changing Results at StarBrite Dental
Dentist Rockville MD
Mike Was a Patient Who Feared the Dentist
This was a case where we started out just trying to help a patient in pain. But in the end, our patient received not only a much healthier smile, but a much more pleasing one.
A New Smile and a Happier Life for Forrest
One of our biggest wins at StarBrite is when we restore a patient’s smile while saving teeth another dentist told him were lost causes. Discover how we were able to help a patient with multiple damaged teeth come out smiling in this real-life story.
Life With Dental Veneers
Like a lot of technology in the world of healthcare, porcelain veneers have come a long way. While the first porcelain veneers were snap-on covers that needed to be removed for eating and sleeping, today’s porcelain veneers are cemented in place and designed to last for many years.
That does not, however, mean your teeth are magically, or technologically, protected from decay. The teeth behind your porcelain veneers will still need the same level of attention they always have:
We’ve been through a lot of information here, but don’t worry. When you visit us for your complimentary porcelain veneers consultation, we’ll be glad to go over each and every detail in person!
Read More About Dental Veneers in Our Blogs
Book a Dental Veneers Appointment
*We DO NOT ACCEPT HMO Insurance, State Insurance, Medicaid/Medicare, or discount plans. Fees apply for services. and same-day appts/emergencies.
Evening and Weekend Hours Available
- Monday
- Closed
- Tuesday
- -
- Wed, Fri
- -
- Thursday
- -
- Saturday
- -
- Sunday
- Closed
Office
(301) 770-1070
Fax (301) 770-0544
5936 Hubbard Dr, Rockville, MD 20852








